Anterior cruciate ligament (acl) injuries are typically the result of a noncontact pivoting injury (70%). The most frequent type of ligament injury is an anterior cruciate ligament (acl). exterior cruciate ligament injury.
Exterior Cruciate Ligament Injury, Anterior cruciate ligament is commonly injured during high demand sports, like soccer, tennis, volleyball and basketball etc. This topic review will discuss the presentation, evaluation, and management of acl injuries. At the knee, sprains are injuries to at least one peripheral ligament and are classified as severe when the anterior cruciate ligament (acl) and/or posterior cruciate ligament (pcl) are injured [6].
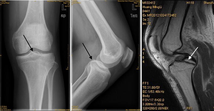
Can you See Torn Ligament X Ray Akamatsu6Hazuki From akamatsu6hazuki.blogspot.com
The most frequent type of ligament injury is an anterior cruciate ligament (acl). There is a ligament on each side of the knee (the collateral ligaments) and two ligaments deep inside the knee. Among knee injuries, the anterior cruciate ligament (acl) is one of the most commonly disrupted ligaments in the knee (boden, 2000).
Anterior cruciate ligament is commonly injured during high demand sports, like soccer, tennis, volleyball and basketball etc.
The severity of its injury is graded into 3 levels: Deceleration with internal rotation is the classically described mechanism with more recent literature supporting valgus and external rotation. Anterior cruciate ligament (acl) injuries are typically the result of a noncontact pivoting injury (70%). It can be sprained or torn during the game. At the top of the tibia, there are the medial and lateral condyles, which are slightly convex surfaces that correspond to the condyles of the femur. Ligament is sprained and its structural integrity is preserved.
Another Article :
Anterior cruciate ligament surgery is a complex operation that requires expertise in the field of orthopedic and sports medicine. At the knee, sprains are injuries to at least one peripheral ligament and are classified as severe when the anterior cruciate ligament (acl) and/or posterior cruciate ligament (pcl) are injured [6]. A biomechanical analysis of tibial torque and knee flexion angle american journal of sports medicine , 30 ( 2002 ) , pp. How to tell if you have anterior cruciate ligament injury. This injury happens from changing directions quickly from slowing down while running or landing a jump improperly. Can you See Torn Ligament X Ray Akamatsu6Hazuki.

This activity outlines the evaluation, and treatment of posterior cruciate ligament knee. [1] they occur less frequently than anterior cruciate ligament (acl) injuries as the pcl is broader and stronger. Many factors should be considered when discussing surgery, including the athlete�s level of competition, age, previous knee injury, other injuries sustained, leg alignment, and graft choice. Injury of the acl can lead to substantial disability; This injury happens from changing directions quickly from slowing down while running or landing a jump improperly. PrettyCare Knee Brace Support ( Professional Protection.

Anterior cruciate ligament (acl) injuries are common in young individuals who participate in sports activities associated with pivoting, decelerating and jumping. Injury to the anterior cruciate ligament during alpine skiing; The severity of its injury is graded into 3 levels: The anterior cruciate ligament (acl) is one of 2 cruciate ligaments that aids in stabilizing the knee joint. A variety of mechanisms have been observed and described. Knee Ligament Injury Proven Treatments in Newcastle.

A ligament is a structure in the knee that holds the bones together and helps to control joint movement or motion. At the top of the tibia, there are the medial and lateral condyles, which are slightly convex surfaces that correspond to the condyles of the femur. Injury to the posterior cruciate ligament (pcl) can range from a stretch to a total tear or rupture of the ligament. How to tell if you have anterior cruciate ligament injury. Injury to either the anterior cruciate ligament (acl) or posterior cruciate ligament (pcl) can cause instability in the knee.damage to the acl is common, particularly amongst athletes.pcl injuries are less common. Knee ligaments model human CGTrader.

Among knee injuries, the anterior cruciate ligament (acl) is one of the most commonly disrupted ligaments in the knee (boden, 2000). An acl injury occurs when the ligament is stretched or torn. Additional reads you may find ineresting. Injury to either the anterior cruciate ligament (acl) or posterior cruciate ligament (pcl) can cause instability in the knee.damage to the acl is common, particularly amongst athletes.pcl injuries are less common. All of these mechanical phenomena occur repetitively in a running, jumping, and cutting sport such as basketball. Anterior Ankle Impingement Sportnova UK.

A partial acl tear occurs when only part of the ligament is torn. These injuries are relatively uncommon. Among knee injuries, the anterior cruciate ligament (acl) is one of the most commonly disrupted ligaments in the knee (boden, 2000). Anterior cruciate ligament (acl) injuries are common in young individuals who participate in sports activities associated with pivoting, decelerating and jumping. Injury to the posterior cruciate ligament (pcl) can range from a stretch to a total tear or rupture of the ligament. Knee Injury Ligaments (Part 3) Exercises For Injuries.

All of these mechanical phenomena occur repetitively in a running, jumping, and cutting sport such as basketball. The most frequent type of ligament injury is an anterior cruciate ligament (acl). Additional reads you may find ineresting. Injury of the acl can lead to substantial disability; A partial acl tear occurs when only part of the ligament is torn. Ruptura de ligament Cauze, simptome, tratament.

Many factors should be considered when discussing surgery, including the athlete�s level of competition, age, previous knee injury, other injuries sustained, leg alignment, and graft choice. A ligament is a band of tissue that connects a bone to another bone. The anterior cruciate ligament (acl) is located inside your knee joint and connects the bones of your upper and lower leg. An acl injury is a partial or complete tear, a stretched ligament, or a detachment of the ligament from your bone. The severity of its injury is graded into 3 levels: The Knee Resource Knee Fracture.

A partial acl tear occurs when only part of the ligament is torn. At the top of the tibia, there are the medial and lateral condyles, which are slightly convex surfaces that correspond to the condyles of the femur. How to tell if you have anterior cruciate ligament injury. The anterior cruciate ligament (acl) is located inside your knee joint and connects the bones of your upper and lower leg. Magnetic resonance (mr) imaging has emerged as the study of choice to evaluate the status of the acl and other associated structures in the knee. Anterior Cruciate Ligament Rupture and Torn Meniscus.

External loads associated with anterior cruciate ligament injuries increase the correlation between tibial slope and ligament strain during in vitro simulations of in vivo landings clin biomech (bristol, avon). Physical examination for the assessment of the acl is commonly used in routine care in the evaluation of the knee and is part of the diagnostic process. Anterior cruciate ligament (acl) injuries are typically the result of a noncontact pivoting injury (70%). Magnetic resonance (mr) imaging has emerged as the study of choice to evaluate the status of the acl and other associated structures in the knee. These injuries are relatively uncommon. PrettyCare Knee Brace Support ( Professional Protection.
The anterior cruciate ligament (acl) is one of 2 cruciate ligaments that aids in stabilizing the knee joint. The two ligaments inside the knee that “cross” each other are called the anterior cruciate ligament (acl) and the. Injury to either the anterior cruciate ligament (acl) or posterior cruciate ligament (pcl) can cause instability in the knee.damage to the acl is common, particularly amongst athletes.pcl injuries are less common. The anterior cruciate ligament (acl) is an important stabilizing ligament of the knee that is frequently injured by athletes and trauma victims. The anterior cruciate ligament (acl) is an important stabilizer of knee motion. Acl Mcl Rupture Nagano6Azusa.

Ligament is sprained and its structural integrity is preserved. Among knee injuries, the anterior cruciate ligament (acl) is one of the most commonly disrupted ligaments in the knee (boden, 2000). While, most other sport injuries involve a transfer of energy from an external source. A variety of mechanisms have been observed and described. Acl injury can cause your knee to lose its stability and full range of movement, making it difficult to perform everyday tasks or play certain sports. Treatment of tibia avulsion fracture of posterior cruciate.

There is a ligament on each side of the knee (the collateral ligaments) and two ligaments deep inside the knee. Deceleration with internal rotation is the classically described mechanism with more recent literature supporting valgus and external rotation. All of these mechanical phenomena occur repetitively in a running, jumping, and cutting sport such as basketball. Anterior cruciate ligament (acl) injuries are common in young individuals who participate in sports activities associated with pivoting, decelerating and jumping. It is a strong band made of connective tissue and collagenous fibers that originate from the anteromedial aspect of the intercondylar region of the tibial plateau and extends posteromedially to attach to the lateral femoral condyle. Dolor de rodilla Excelsior Labs Inc.

Anterior cruciate ligament surgery is a complex operation that requires expertise in the field of orthopedic and sports medicine. The anterior cruciate ligament (acl) is an important stabilizer of knee motion. Ligament is sprained and its structural integrity is preserved. Injury to the posterior cruciate ligament (pcl) can range from a stretch to a total tear or rupture of the ligament. How to tell if you have anterior cruciate ligament injury. Knee pain. Causes, symptoms, treatment Knee pain.
Deceleration with internal rotation is the classically described mechanism with more recent literature supporting valgus and external rotation. Injury of the acl can lead to substantial disability; The severity of its injury is graded into 3 levels: An acl injury is a partial or complete tear, a stretched ligament, or a detachment of the ligament from your bone. A biomechanical analysis of tibial torque and knee flexion angle american journal of sports medicine , 30 ( 2002 ) , pp. Acl Tear pix Mri.








